Darren G. Koch, D.D.S., P.A. - Family & Cosmetic Dentistry
Darren G. Koch, D.D.S.

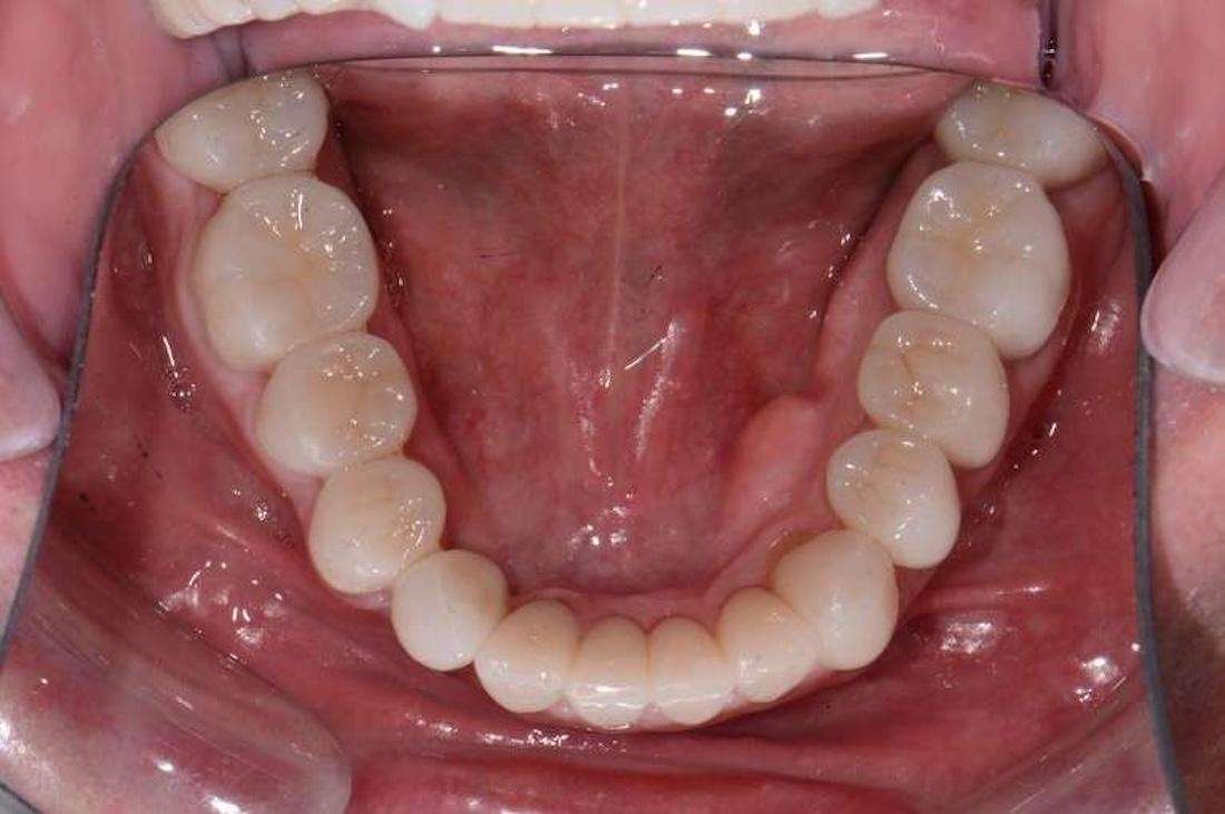
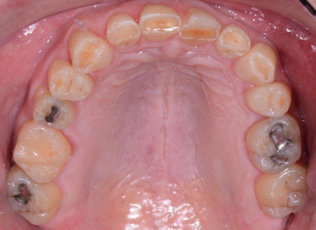
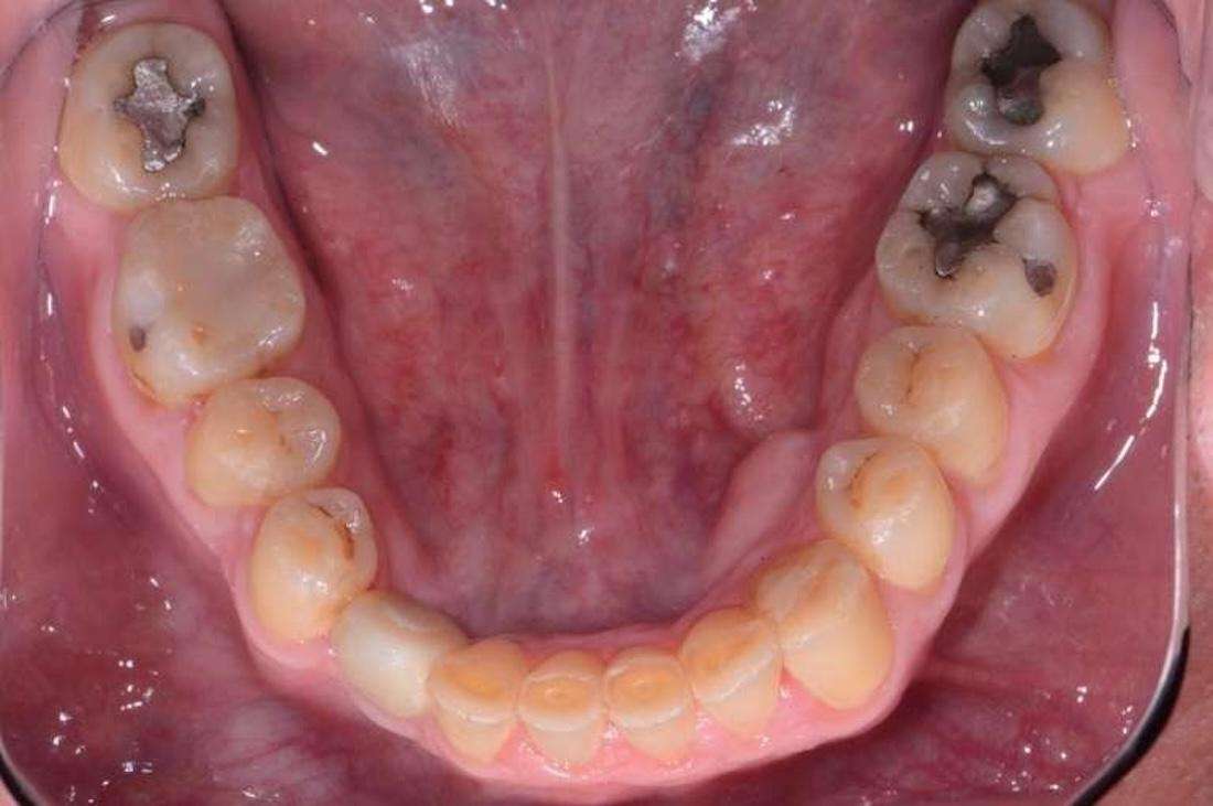
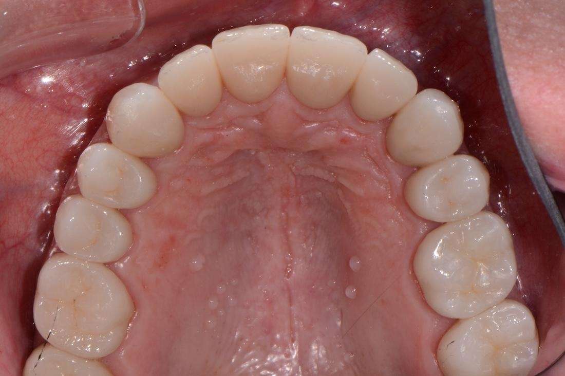
Upper and Lower Porcelain Crown Full Mouth Reconstruction (28 Teeth).

This patient came to us after years of frustration. Despite two rounds of orthodontic treatment as an adult, their teeth did not move as expected because some were fused to the jawbone. This led to a misaligned bite that caused severe wear on the front teeth. To make matters more challenging, acid reflux, nocturnal bruxism, and an uneven bite had further damaged their smile.

A Smile Restored with Full Mouth Reconstruction

At first, I tried conservative bonding on the upper front teeth, but it simply could not hold up against the patient’s bite issues. After careful planning, I completed a full mouth reconstruction with porcelain crowns. This allowed me to open and correct the bite, restore proper function, and dramatically improve the aesthetics. The final result was a balanced, healthy, and natural-looking smile that gave this patient their confidence back. I especially enjoyed this case because it demonstrates that complex, full mouth reconstructions are not limited to prosthodontists. With advanced training, a general dentist like myself can achieve outstanding results for even the most challenging cases.

Ready to book an appointment?
If you have difficulty using our website, please email us or call us at (919) 859-6633