Darren G. Koch, D.D.S., P.A. - Family & Cosmetic Dentistry
Darren G. Koch, D.D.S.

Invisalign & Teeth Whitening

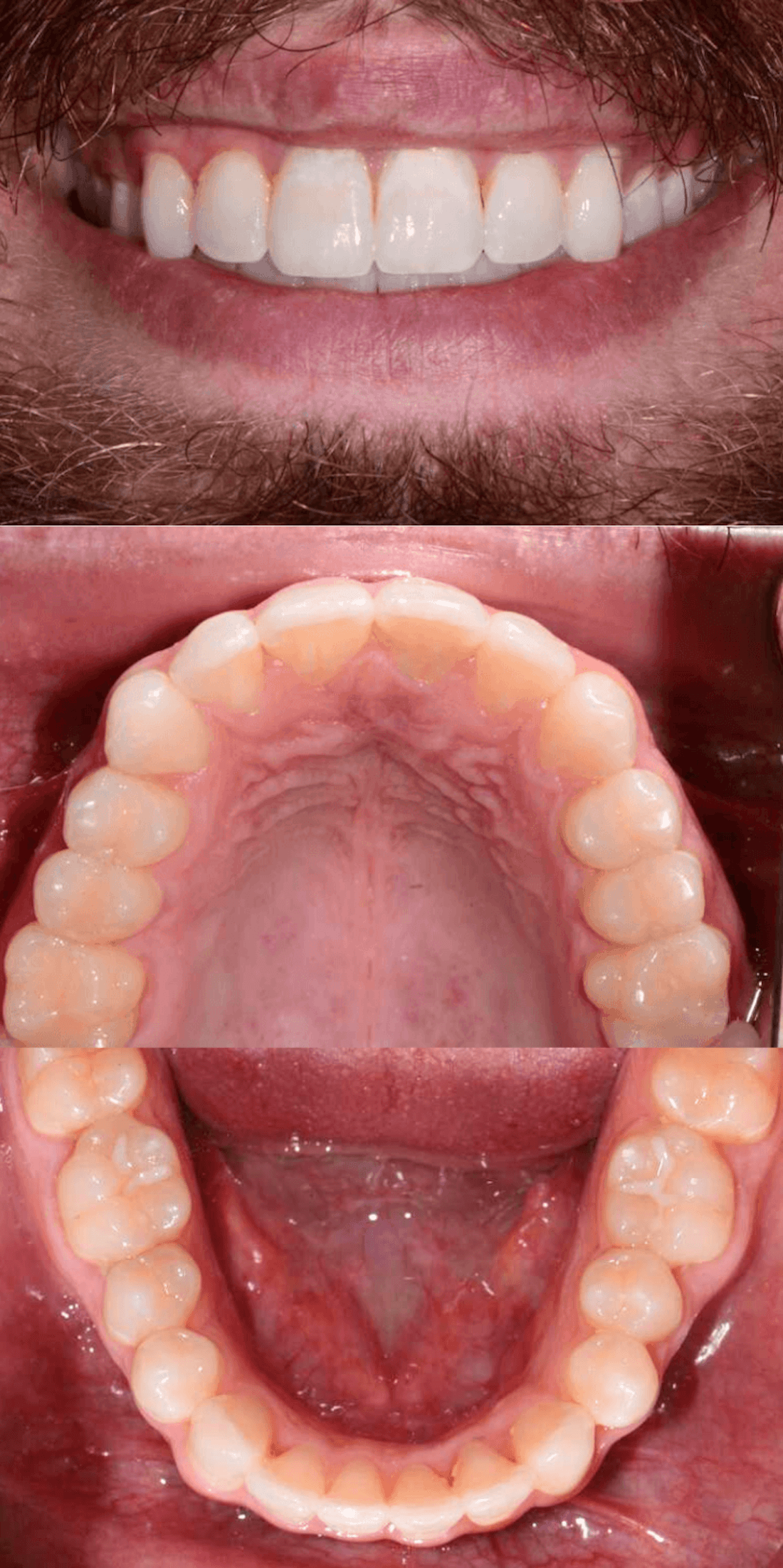
This patient struggled with several dental concerns that affected both their health and confidence. Severe crowding caused their upper front teeth to overlap, which not only made their smile less uniform but also contributed to gingivitis and bleeding gums. On top of that, a misaligned bite and noticeable discoloration left them feeling unhappy with their overall appearance.

A Straighter, Brighter Smile with Invisalign and Cosmetic Enhancements

I presented two options: traditional braces with metal brackets and wires, or Invisalign®. The patient chose Invisalign, and after 15 months of treatment, their teeth were beautifully aligned. We followed this with KoR professional whitening to brighten their smile, and I used composite resin bonding to rebuild the worn edges of the front teeth. Finally, I performed cosmetic contouring to refine the overall shape. The result was an incredible transformation, one of my all-time favorite Invisalign cases. In fact, it was featured as Case of the Month on the American Academy of Clear Aligners website in May 2023. I love this case because it showcases how Invisalign, combined with a few artistic enhancements, can create a healthy, confident, and truly stunning smile.

We Warmly Welcome New Patients to Our Practice
If you have difficulty using our website, please email us or call us at (919) 859-6633