Darren G. Koch, D.D.S., P.A. - Family & Cosmetic Dentistry
Darren G. Koch, D.D.S.
Home
About
Our Team
Darren G. Koch
Christopher Hartung
Community Involvement
Technology
Practice Photos
Services
View All
Family Dentistry
Cosmetic Dentistry
Emergency Dentistry
Crowns and Bridges
Veneers
Dental Implants
Periodontal Treatment
Sleep Apnea and Snoring Treatment
Invisalign® Clear Aligners
Smile Makeovers
Smile Gallery
Patient Info
View Patient Info
Testimonials
Forms
In-House Savings Plan
FAQs
Blog
Financial
Contact
Darren G. Koch, D.D.S., P.A. - Family & Cosmetic Dentistry
Darren G. Koch, D.D.S.
Request an Appointment
Like us on Facebook
Watch our Youtube Videos
Leave a Google Review
Instagram
(919) 859-6633
Darren G. Koch, D.D.S., P.A. - Family & Cosmetic Dentistry
Pay Online
Darren G. Koch, D.D.S., P.A. - Family & Cosmetic Dentistry
>
Smile Gallery
>
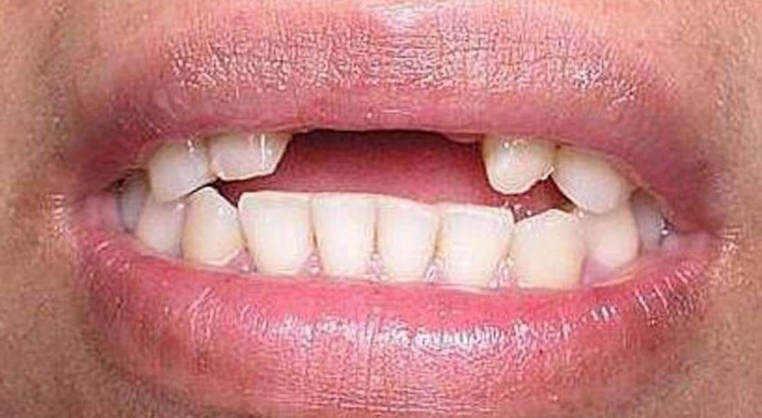
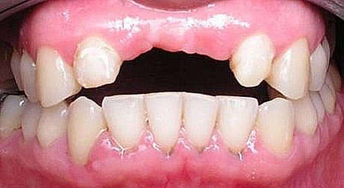
Anterior Porcelain Bridge
Anterior Porcelain Bridge
Return to Smile Gallery
Previous
Next
Related Services:
Crowns and Bridges
Veneers
Place mouse over picture to pause
Before
After
Before
After
We Warmly Welcome New Patients to Our Practice
Contact Us
If you have difficulty using our website, please
email us
or call us at
(919) 859-6633
View the
ADA Accessibility Statement
Turn on ADA Views
OK!
×
×
Contact Us Today
Give Us A Call
Darren G. Koch, D.D.S., P.A. - Family & Cosmetic Dentistry -
(919) 859-6633
Send Us an Email
Request an Appointment
Contact
Ready to Schedule an Appointment?
Request an Appointment
Have Questions? Contact Us:
Required Field
Your Name:
Phone:
Email:
Are you a new patient?:
Are you a?
New Patient
Current Patient
How would you like us to contact you?
Please choose
Email
Call
How did you hear about us?
Please choose
I'm an existing patient
Google/Bing
Mailer
Word of mouth
Social media
Other
Who Referred You?:
Appointment Preferences
Monday
Tuesday
Wednesday
Thursday
Your Message:
This site is protected by reCAPTCHA and the Google
Privacy Policy
and
Terms of Service
apply.
Sending...
×
This Patient's Experience
Loading Testimonial...
Loading Case...